一般歯科

一般歯科では、虫歯や歯周病をはじめとする歯の病気に対しての診療を行っています。
虫歯も歯周病も、放置していると歯を失うリスクが生じる病気です。歯と口腔環境へのダメージを抑えるためにも、全身の健康や生活の質を維持するためにも、気になる症状がありましたらなるべく早めに治療を受けることをおすすめします。



歯にむしば菌が感染してすみつき、ほうっておくといずれは歯の神経にまで悪い影響を与えてしまう病気です。

発見が早いほど治療における歯の侵襲(ダメージ)が少なくてすみますが、虫歯が進行するにつれて歯のダメージが大きくなり、治療内容も煩雑、長期的になっていく可能性があります。
ちょっと痛かったけど、今は落ち着いているからと思って放置せず、ちょっとでも自覚症状や不安なことがあれば、できるだけ早めにご相談ください。

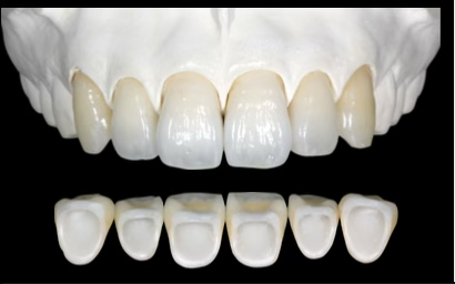
当院では患者様のライフスタイルやご年齢・ご予算など、様々な面から最適な詰め物・被せ物をご提案〜治療をさせていただいております。まずはお気軽に当院までご相談ください。







保険適用範囲内の入れ歯(レジン床・熱可塑性樹脂床)や、歯を美しく見せる自費の入れ歯など、様々なレパートリーをご用意しておりますので、患者様のご希望やご要望に沿ったご提案をさせていただきます。






『歯槽膿漏』とも呼ばれる歯周病は、細菌による炎症性の病気です。
歯と歯肉のあいだに細菌が棲みつき、歯肉を含めた歯周組織にダメージを与えます。徐々に歯肉の腫れや変色などが症状としてあらわれるようになります。
歯周病も虫歯と同じように、歯を失うリスクが生じる病気です。自覚症状がない状態で進行していることがあるため、定期的な検診やお掃除など、早めの対応を心掛けて進行を防ぎましょう。
そのため、健康的な口腔内を維持している方でも、3~6ヶ月の間隔で定期健診に通われることをおすすめします。定期的に健診にお越しいただいていれば、むし歯や歯周病も初期の状態で発見することができ、長期的に見ても治療の負担を抑えることができます。
















